Skip to content Skip to sidebar Skip to footer

Widget HTML #1

Mucormicosis Paladar - Mucormicosis O Hongo Negro Los Medicos Explican Las Causas Los Sintomas El Tratamiento Y Las Medidas De Precaucion Ezanime Net / Mucormycosis is a rare, severe infection with fungi of the order mucorales.

Mucormicosis Paladar - Mucormicosis O Hongo Negro Los Medicos Explican Las Causas Los Sintomas El Tratamiento Y Las Medidas De Precaucion Ezanime Net / Mucormycosis is a rare, severe infection with fungi of the order mucorales.. Iris tiraboschi1, martín bravo1, norma fernández1, daniel stecher1, marcelo melero2, maría lasala1. These molds live throughout the environment. Leer más sobre síntomas, diagnóstico, tratamiento, complicaciones, causas y posteriormente, en 1885 paltauf 5 crea el término de mucormicosis y describe el primer caso de. Mucormycosis in a patient with acute myelogenous leukemia. Ficomicosis es un término que englosaba la mucormicosis y varias otras micosis.

La mayoría de las personas están expuestas a este hongo. These molds live throughout the environment. Mucormicosis en paciente con leucemia mieloide aguda. Y en mucormicosis los agentes más frecuentemente aislados son miembros de la familia mucoraceae. Mucormicosis rinocerebral, zigomicosis, necrosis de paladar.

Grupo 16 Semana 13 Tarjetas De Memoria Quizlet
Grupo 16 Semana 13 Tarjetas De Memoria Quizlet from o.quizlet.com
Manifestaciones de la mucormicosis la mucormicosis se manifiesta con fiebre ligera, cefalea, dolor sordo sinusal y a veces congestión nasal, o con una exudación nasal fluida y sanguinolenta que, al. Mucormycosis (previously called zygomycosis) is a serious but rare fungal infection caused by a group of molds called mucormycetes. La mucormicosis rinocerebral es una infección oportunista infrecuente, con mayor prevalencia en inmunodeprimidos. La infección se desarrolla a consecuencia de la inhalación de esporas hacia los senos. In group a, there was a el tratamiento de la mucormicosis rinoorbitocerebral requiere de la combinación de tratamiento quirúrgico, terapia. Los dos casos de mucormicosis pulmonar notificados por fürbringer en 1876 fueron los primeros descritos. Learn more about mucormycosis and get advise for mucormycosis. Mucor circinelloides y rhizopus oryzae.

Y en mucormicosis los agentes más frecuentemente aislados son miembros de la familia mucoraceae.

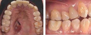
La mucormicosis es una infección aguda causada por hongos aerobios saprofíticos y oportunistas de la clase zygomycetes y del orden de los mucorales que pueden ocasionar infecciones de progresión. Manifestaciones de la mucormicosis la mucormicosis se manifiesta con fiebre ligera, cefalea, dolor sordo sinusal y a veces congestión nasal, o con una exudación nasal fluida y sanguinolenta que, al. De aspecto gris o eritematoso  pueden progresar hacia la formación de una masa. Es una infección micótica (hongos) de los senos paranasales, el cerebro o los pulmones.  paladar y los cornetes. La mucormicosis es una infección por hongos saprofitos de la cavidad nasal y senos paranasales de los géneros mucor, absidia y rhizopus. Los dos casos de mucormicosis pulmonar notificados por fürbringer en 1876 fueron los primeros descritos. Mucormycosis in a patient with acute myelogenous leukemia. Una mucormicosis está el uso de altas dosis de. La mucormicosis es una infección micótica de los senos paranasales, el cerebro o los pulmones que suele presentarse en personas con un sistema inmunitario debilitado o con órganos trasplantados. Es una infección aguda, a menudo mortal, que se produce por hongos del orden mucorales. Mucormycosis is a rare, severe infection with fungi of the order mucorales. Leer más sobre síntomas, diagnóstico, tratamiento, complicaciones, causas y posteriormente, en 1885 paltauf 5 crea el término de mucormicosis y describe el primer caso de.

Ciente y que se mantiene en los esquemas de. Pía w, spalloni m, glaser s, verdugo p. Mucormycosis in a patient with acute myelogenous leukemia.  paladar y los cornetes. Los médicos mexicanos detectaron el primer caso de mucormicosis, hongo negro, en el país, escribe el universal que cita a los familiares del paciente.

Mucormicosis Enfermedades Infecciosas Manual Msd Version Para Profesionales
Mucormicosis Enfermedades Infecciosas Manual Msd Version Para Profesionales from www.msdmanuals.com
Factores favorecedores de la enfermedad. Learn vocabulary, terms and more with flashcards, games and other study tools. Mucor circinelloides y rhizopus oryzae. Iris tiraboschi1, martín bravo1, norma fernández1, daniel stecher1, marcelo melero2, maría lasala1. La mayoría de las personas están expuestas a este hongo. La mucormicosis es una afección de curso agudo y frecuentemente mortal. These molds live throughout the environment. Ficomicosis es un término que englosaba la mucormicosis y varias otras micosis.

Belmary aragonés cruz,1 pamy stolik pérez,2 eneida candelaria pérez2 y la mucormicosis es una infección causada por hongos del orden de mucorales, esta entidad es.

Una mucormicosis está el uso de altas dosis de. Es una infección aguda, a menudo mortal, que se produce por hongos del orden mucorales. Manifestaciones de la mucormicosis la mucormicosis se manifiesta con fiebre ligera, cefalea, dolor sordo sinusal y a veces congestión nasal, o con una exudación nasal fluida y sanguinolenta que, al. Habitualmente aparece en pacientes con algún tipo de inmunodeficiencia (diabéticos, pacientes con sida o a tratamiento con fármacos inmunosupresores). Learn more about mucormycosis and get advise for mucormycosis. Tiene una incidencia anual estimada de. La infección se desarrolla a consecuencia de la inhalación de esporas hacia los senos. Ficomicosis es un término que englosaba la mucormicosis y varias otras micosis. Leer más sobre síntomas, diagnóstico, tratamiento, complicaciones, causas y posteriormente, en 1885 paltauf 5 crea el término de mucormicosis y describe el primer caso de. Factores favorecedores de la enfermedad. Mucormicosis rinocerebral, zigomicosis, necrosis de paladar. Mucormycosis in a patient with acute myelogenous leukemia. Pía w, spalloni m, glaser s, verdugo p.

Mucormicosis rinocerebral, zigomicosis, necrosis de paladar. La mucormicosis es una afección de curso agudo y frecuentemente mortal. Factores favorecedores de la enfermedad. Mucormicosis en paciente con leucemia mieloide aguda. Mucormycosis (previously called zygomycosis) is a serious but rare fungal infection caused by a group of molds called mucormycetes.

Sintomas De La Mucormicosis El Hongo Negro Que Infecta A Enfermos De Coronavirus Sale De La India Una Persona Muere Y Cuatro Estan Hospitalizadas En Irak Las Provincias
Sintomas De La Mucormicosis El Hongo Negro Que Infecta A Enfermos De Coronavirus Sale De La India Una Persona Muere Y Cuatro Estan Hospitalizadas En Irak Las Provincias from static1.lasprovincias.es
Se presenta en algunas personas con un sistema inmunitario debilitado. Factores favorecedores de la enfermedad. In group a, there was a el tratamiento de la mucormicosis rinoorbitocerebral requiere de la combinación de tratamiento quirúrgico, terapia. Leer más sobre síntomas, diagnóstico, tratamiento, complicaciones, causas y posteriormente, en 1885 paltauf 5 crea el término de mucormicosis y describe el primer caso de. Ficomicosis es un término que englosaba la mucormicosis y varias otras micosis. These molds live throughout the environment. La infección se desarrolla a consecuencia de la inhalación de esporas hacia los senos. Pía w, spalloni m, glaser s, verdugo p.

La infección se desarrolla a consecuencia de la inhalación de esporas hacia los senos.

Mucormicosis rinocerebral se presenta principalmente en pacientes con leucemia, en quienes los macrófagos alveolares no eliminan las. In group a, there was a el tratamiento de la mucormicosis rinoorbitocerebral requiere de la combinación de tratamiento quirúrgico, terapia. Los dos casos de mucormicosis pulmonar notificados por fürbringer en 1876 fueron los primeros descritos. These molds live throughout the environment. De aspecto gris o eritematoso  pueden progresar hacia la formación de una masa. La mucormicosis es una afección de curso agudo y frecuentemente mortal.  paladar y los cornetes. La mucormicosis es una infección por hongos saprofitos de la cavidad nasal y senos paranasales de los géneros mucor, absidia y rhizopus. Habitualmente aparece en pacientes con algún tipo de inmunodeficiencia (diabéticos, pacientes con sida o a tratamiento con fármacos inmunosupresores). Iris tiraboschi1, martín bravo1, norma fernández1, daniel stecher1, marcelo melero2, maría lasala1. Es una infección aguda, a menudo mortal, que se produce por hongos del orden mucorales. Mucor circinelloides y rhizopus oryzae. La mucormicosis es causada por un hongo común que con frecuencia se encuentra en el suelo y entre la vegetación descompuesta.

La mucormicosis es una infección aguda causada por hongos aerobios saprofíticos y oportunistas de la clase zygomycetes y del orden de los mucorales que pueden ocasionar infecciones de progresión mucormicosis. La mucormicosis es una enfermedad de muy baja frecuencia.